• 阅读508
  • 回复2

[生活百态] 腦袋插鋼筋 胸部卡鐵釘:盤點全球最令人驚恐的X照片

[复制链接]
发表于 2014-4-8 13:54 | 显示全部楼层 |阅读模式

2389482082974153369.jpg

阿富汗赫爾曼德省,一把刀子扎入到一位10歲男孩的頭骨中。

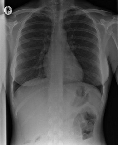
3509074845096216326.jpg

  榆林市兒童醫院的醫生對於一名18個月大的小女孩每天不斷的從胃裡排泄出釘子而感到困惑。幾天后一位護士告訴警察,她在小孩的床上發現了一包類似的釘子。

16503215221467341830.jpg

這位不幸的男子被一根撬棍插入到頭部。

8241488971580176030.jpg

中國合肥的一位建筑工人從腳手架上摔下,導致一根鋼筋刺穿他的身體。

15723862674018363472.jpg

  在另一起事故中,一根鋼筋從高空墜下直接刺入了傷者的腦袋。醫院的醫生不得比求助於消防員來切斷鋼筋

11764209700992186396.jpg

這位傷者在回家的路上被一對火鉗刺中,火鉗從腦后刺入從前額穿出。

7591119148762357779.jpg

醫生們從一位69歲的男子頭部取下了三顆長釘。

11405209938638532105.jpg

一支鉛筆從2歲女孩Wren Bowell的眼窩穿過。

290238019865075423.jpg

  醫生從沈陽一位女士頭部取出了一顆子彈,這顆子彈有可能在她頭部待了48年。這次手術解決了她呼吸不暢的問題。

4091536799122787705.jpg

這張X照片展示了被吞入肚中的一把牙刷。

12879410891175362647.jpg

這張X照片展現了嵌入一位患者胸部的子彈。

3840795066503627354.jpg

這位患者的X照片表明他吞下了兩把叉子、一支圓珠筆和一把牙刷。

8912143325477243458.jpg

這張X照片展示了一顆釘子穿過了一位男子的食指和中指。

9034487472416561416.jpg

  這是參加布爾戰爭時(1899-1902)一位士兵留下的X照片,一顆毛瑟槍子彈嵌入到他的腳中。

17325565678395478272.jpg

這張彩色X照片展示了一位7歲男孩吞下的一把鑰匙

14558096207506654058.jpg

這張彩色X照片展示了病人吞入的物體,其中包括一把勺子和一個刀片。


六安论坛
发表于 2014-4-11 15:31 | 显示全部楼层
纳尼 真吓人的
楼主 你咋发这样的照片啊
六安论坛
回复 鲜花 臭蛋

使用道具 举报

发表于 2014-4-11 15:31 | 显示全部楼层
{:1052:}{:1052:}{:1052:}
六安论坛
回复 鲜花 臭蛋

使用道具 举报

您需要登录后才可以回帖 登录 | 立即注册

本版积分规则

侵权举报:本页面所涉内容为用户发表并上传,相应的法律责任由用户自行承担;本网站仅提供存储服务;如存在侵权问题,请权利人与本网站联系删除!举报微信号:点击查看